Secondary Lung Tumors In Dogs / Primary Lung Neoplasia Tumor A Veterinarian S Perspective - There are two type of lung cancer diagnosed in dogs.
Dapatkan link
Facebook
X
Pinterest
Email
Aplikasi Lainnya
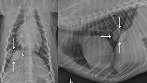
Secondary Lung Tumors In Dogs / Primary Lung Neoplasia Tumor A Veterinarian S Perspective - There are two type of lung cancer diagnosed in dogs.. This tumor tends to grow as a large, single, and solitary mass, but may spread within the lungs, to local lymph nodes, or even bone. Dogs with metastatic lung cancers generally have several tumors in the lungs, not just a single growth. In this article we will help you understand the diagnosis of cancer in dogs. Metastatic lung cancers (cancers that spread to the lungs from other locations) are much more common in dogs than primary lung cancers. Metastatic lung cancer originates in other parts of the body such as a leg bone, the mouth, or the thyroid gland, but has spread to the lung through the bloodstream.
Signs of lung cancer in dogs. Metastatic lung tumors are those that spread from a primary tumor elsewhere in the body. There are two type of lung cancer diagnosed in dogs. Average age of dogs with primary lung tumors has been found. It accounts for 1% of all neoplasms reported in dogs.
Symptoms Of End Stage Lung Cancer In Dogs Dog Discoveries from dogdiscoveries.com The most common lung tumor seen in dogs is called a primary lung carcinoma and this arises from the tissues within the lung. Metastasis of another cancer into the lungs (this is the most common cause of lung cancer in dogs) passive inhalation of smoke in their environment, or second hand smoking living in a suburban area with high levels of pollution Our canine companions are a member of our family, making a cancer diagnosis extremely devastating. Symptoms of lung cancer in dogs. The american veterinary medical association (avma) reports that one in four dogs will develop cancer at some time in their life and that 50% of pets over the age of 10 will develop cancer. The lungs are a common site to which other types of cancer spread, such as with dogs diagnosed with bone cancer. Your dog's tumor probably originated in his bones as osteosarcoma, in his mouth as oral melanoma, or in the blood vessels as hemangiosarcoma. Many dogs with a lung tumor show no related symptoms, while other dogs may display one or more of the following symptoms depending on the size and location of the tumor:
In this article we will help you understand the diagnosis of cancer in dogs.
Lung cancer accounts for about one percent of all cancers in dogs. Also called pulmonary tumors they have been classified into bronchogenic, bronchial gland, or bronchioalveolar according to the site of their location. Pulmonary carcinomas have a high tendency to metastasize, so full. Metastatic tumors in dogs are made up of cells of the original tumor, not the site in which they have moved to. Primary lung sarcomas and adenomas are rare in both species. This tumor tends to grow as a large, single, and solitary mass, but may spread within the lungs, to local lymph nodes, or even bone. Usually there are no symptoms in the early stages of canine lung cancer. Not only is it difficult to hear the words, but many owners struggle with understanding the process of their disease and when it's actually time to let them go. Your dog's tumor probably originated in his bones as osteosarcoma, in his mouth as oral melanoma, or in the blood vessels as hemangiosarcoma. However, primary lung cancers are being seen more frequently over the last 20 years. Dogs with metastatic lung cancers generally have several tumors in the lungs, not just a single growth. The lungs are a place that cancers tend to spread to more rapidly than other parts of the body. This is known as metastasis, and it is a secondary type of cancer in dogs.
Primary lung tumors are uncommon in dogs accounting for 1% of all tumors. The most common lung tumor seen in dogs is called a primary lung carcinoma and this arises from the tissues within the lung. Metastasis of another cancer into the lungs (this is the most common cause of lung cancer in dogs) passive inhalation of smoke in their environment, or second hand smoking living in a suburban area with high levels of pollution In this article we will help you understand the diagnosis of cancer in dogs. Many dogs with a lung tumor show no related symptoms, while other dogs may display one or more of the following symptoms depending on the size and location of the tumor:
Remission Of Spontaneous Canine Tumors After Systemic Cellular Viroimmunotherapy Cancer Research from cancerres.aacrjournals.org Lung cancer in dogs may be primary, originating in the lungs or it may come from a different area of the body such as the liver, and then the cancer metastizes to the lungs.primary lung cancer in dogs is rare and has four stages, and it is important to detect the condition as early as possible, to be able to administer treatment that may save your dog's life. However, primary lung cancers are being seen more frequently over the last 20 years. Signs of lung cancer in dogs. The most common causes of lung cancer in dogs includes: The american veterinary medical association (avma) reports that one in four dogs will develop cancer at some time in their life and that 50% of pets over the age of 10 will develop cancer. Most dogs with lung tumors present with coughing, exercise intolerance or other respiratory signs. Symptoms of lung metastases pulmonary metastases may not produce symptoms. Many dogs with a lung tumor show no related symptoms, while other dogs may display one or more of the following symptoms depending on the size and location of the tumor:
It accounts for 1% of all neoplasms reported in dogs.
There are chances though that the percentage may be higher, studies say. + types of lung tumors. Primary lung tumors are those that arise from the lungs, mostly from cells lining the bronchi. The lungs are a common site to which other types of cancer spread, such as with dogs diagnosed with bone cancer. The lungs are a place that cancers tend to spread to more rapidly than other parts of the body. Average age of dogs with primary lung tumors has been found. The american veterinary medical association (avma) reports that one in four dogs will develop cancer at some time in their life and that 50% of pets over the age of 10 will develop cancer. Pulmonary metastatic disease most commonly. Metastatic lung tumors are tumors originating from a cancer elsewhere in the body which has spread to the pet's lungs. Also called pulmonary tumors they have been classified into bronchogenic, bronchial gland, or bronchioalveolar according to the site of their location. In this article we will help you understand the diagnosis of cancer in dogs. The main highways of travel for cancer cells are the bloodstream and the lymphatic system (lymph nodes). Alveolar pattern observed in metastatic mammary and pulmonary neoplasia is due to confluence of smaller tumor nodules, hemorrhagic or necrotic reaction of lung parenchyma to tumor emboli, pulmonary edema secondary to airway obstruction by tumor, or extension of tumor into alveolar spaces + dogs.
Other lung tumors in dogs may include a primary lung histiocytic sarcoma. It accounts for 1% of all neoplasms reported in dogs. Primary lung sarcomas and adenomas are rare in both species. Runny nose and runny eyes are possible. In this article we will help you understand the diagnosis of cancer in dogs.
Pulmonary Tumors The National Canine Cancer Foundation from wearethecure.org The most common causes of lung cancer in dogs includes: Secondary metastasis to the lungs is more common than primary canine neoplasm. Of the primary lung tumors in dogs and cats, ≥80% are malignant. The following diagnostics are recommended: In this article we will help you understand the diagnosis of cancer in dogs. Symptoms of lung metastases pulmonary metastases may not produce symptoms. The second kind of lung cancer in dogs is called metastatic lung cancer, which means the cancer originated somewhere else in the body, but has spread to the lung. Primary lung tumors are those that arise from the lungs, mostly from cells lining the bronchi.
Your dog's tumor probably originated in his bones as osteosarcoma, in his mouth as oral melanoma, or in the blood vessels as hemangiosarcoma.
The lungs are a place that cancers tend to spread to more rapidly than other parts of the body. The american veterinary medical association (avma) reports that one in four dogs will develop cancer at some time in their life and that 50% of pets over the age of 10 will develop cancer. Lung cancer in dogs may be primary, originating in the lungs or it may come from a different area of the body such as the liver, and then the cancer metastizes to the lungs.primary lung cancer in dogs is rare and has four stages, and it is important to detect the condition as early as possible, to be able to administer treatment that may save your dog's life. Other lung tumors in dogs may include a primary lung histiocytic sarcoma. The average age of dogs with primary lung tumors is approximately 11 years and the risk of developing lung cancer rises after the age of 13. Also called pulmonary tumors they have been classified into bronchogenic, bronchial gland, or bronchioalveolar according to the site of their location. Certain breeds are more predisposed to develop pulmonary tumors than others. When to euthanize a dog with cancer. Pulmonary metastatic disease most commonly. Metastatic lung cancer originates in other parts of the body such as a leg bone, the mouth, or the thyroid gland, but has spread to the lung through the bloodstream. Most often, tumors found in the lungs are secondary tumors (metastases). The second type is metastatic lung cancer whichis cancer that originates elsewhere in the body such as a leg bone, the mouth, or the thyroid gland, but has spread to the lung via the bloodstream. Adenocarcinoma and alveolar carcinoma are the most common types.
We support bitcoin (btc), ethereum (eth), ripple (xrp), nem (xem) and many other cryptocurrencies. The future shines brightly with unrestricted growth, global adoption, permissionless innovation, and decentralized development. Classic designs, high quality logo prints. Danzico had been swept up in the global craze for trading digital currencies during. The biggest cryptocurrency merchandise web store on the internet. Shinekoo Gold Uberzogene Bitcoin Munze Sammlerstuck Btc Munze Kunstsammlung Physikalisch from When matt danzico began seeing cryptocurrency logos in the packaging of grocery store items, he knew he had a problem. The biggest cryptocurrency merchandise web store on the internet. Its design is public, nobody owns or controls bitcoin and everyone can take part. We support bitcoin (btc), ethereum (eth), ripple (xrp), nem (xem) and...
Sears Card Make Payment - Sears Credit Offers Members - Sears : Though it, they can do a lot of tasks, and … . Pay sears credit card bill; We accept the following gift cards: You can also opt for a customer service representative to assist you. Offer valid for consumer accounts in good standing and is subject to change without notice. If you are a cardholder and the payment due date is near and you are wondering how you will pay the bill, read our guide and you will get complete information. 1 space only between each word or character. Sold by kharid le online. As of 1/1/2021, apr for purchases: Make your user id and password different from the security word you provided when you applied for your card. Earn points, get exclusive coupons and save. Sears Payment Options - Sears from s.shld.net Sold by kharid le online. Category (1) outdoor living (1) to...
How To Tell If A Cat Has A Brain Tumor : CAT scan showing glioma brain tumor Stock Photo: 3217447 ... / No, no way to tell if 15 is too old and if surgery will shorten her life. . Malignant brain tumors also occur in cats. Why is it a cat scan is typically used as opposed to an mri looking for a brain tumor? How much does it cost to treat a cat with cancer? Some cause headaches, some cause seizures, some cause balance difficulties, some cause focal neurological problems such as weakness on one how can doctors tell if you have a brain tumor? Other signs your cat might be suffering from a tapeworm human cases are rare but very serious—causing parasitic tumors that can form in the liver, lungs, brain, and other organs. Sometimes, people with a brain tumor do not have any of these changes. This can be very bad for kitty's health, since those toxins are building up in his little body. A cat that has had a stroke may exhibit symptoms close to what humans usually call d...
Komentar
Posting Komentar